
Au cours de ces visites, l’examen clinique réalisé était assorti de la mesure du taux de saturation en oxygène et en dioxyde de carbone et de la réalisation des tests de fonction pulmonaire suivants: VEMS (Volume Expiratoire Maximal pendant la première Seconde), CVF (Capacité Vitale Forcée) et DLCO (capacité de Diffusion du monOxyde de Carbone). Ont également été réalisés sur ces patients une tomodensitométrie pulmonaire et un échocardiogramme. Ce sont les résultats des 86 premiers patients qui ont été présentés par Sabina Sahanic au récent congrès de la Société Européenne de Pneumologie. Près de la moitié de ces 86 patients étaient des fumeurs actuels ou anciens et 65 % des patients hospitalisés étaient en surpoids ou obèses. Dix-huit patients (21 %) avaient séjourné dans une unité de soins intensifs (USI) et 16 patients (19 %) avaient bénéficié d’une ventilation mécanique invasive. La durée moyenne du séjour à l’hôpital était de 13 jours.
Amélioration de la symptomatologie, des tests fonctionnels et de l’imagerie à 6 et 12 semaines
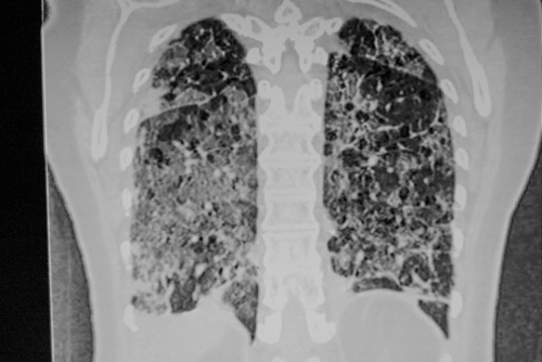
A la première consultation, 56 patients (soit 65 % des patients pris en compte dans cette analyse) voyaient la persistance d’au moins un symptôme de la Covid-19, le plus souvent de la dyspnée (40 patients, 47 %) ou de la toux (13 patients, 15 %), tandis que la tomodensitométrie montrait la persistance de lésions pulmonaires avec aspect de verre dépoli chez 88 % des patients (avec un score moyen de 8) et un VEMS abaissé à moins de 80 % de la normale chez 23 % des patients, la CVF étant également <80 % de la normale chez 24 patients (28 %) et la DLCO<80 % de la normale chez 28 patients (33 %).Il n’y avait par ailleurs pas de rapport entre la présence de lésions pulmonaires et la perturbation des tests fonctionnels ou avec les symptômes. Enfin, l’échocardiogramme montrait également chez 56 % des patients une dysfonction ventriculaire gauche. La biologie indiquait de son côté une atteinte cardiaque, thrombotique et inflammatoire.
Ces symptômes avaient heureusement tendance à s’améliorer comme en témoignent la persistance d’une dyspnée chez 31 patients (39 %). La toux était en revanche toujours présente chez les 13 patients qui en souffraient à 6 semaines. Quant à la tomodensitométrie, elle a montré une réduction du nombre de patients présentant des lésions en verre dépoli (dont le score moyen était passé à 4) soit 48 patients (56 %), tandis qu’un VEMS<80 % de la normale n’était plus observé que chez 18 patients (21 %), une CVF<80 % chez 16 patients (19 %) et une DLCO<80 % chez 19 patients (22 %). La biologie avait, chez tous, tendance à se normaliser.
Les résultats à 24 semaines ne sont pas encore connus.
Ces constatations ont amené les auteurs de l’étude à conclure en l’importance de mettre en œuvre des soins de suivi structurés chez les patients atteints d’une infection grave à COVID-19 en se basant sur l’ensemble des éléments cliniques, biologiques et radiologiques du fait de l’absence de corrélation entre ces données. Par ailleurs, connaître la manière dont les patients ont été affectés à long terme pourrait permettre de traiter plus tôt, et donc plus efficacement, les symptômes et les séquelles pulmonaires, soulignent les auteurs.
Dr Dominique-Jean Bouilliez