Les trois quarts des médicaments récemment mis sur le marché n'apportent aucun bénéfice clinique supplémentaire

Lors de la mise sur le marché de nouveaux médicaments, l'efficacité clinique est l'aspect le plus important à connaître aussi bien [...]
Lors de la mise sur le marché de nouveaux médicaments, l'efficacité clinique est l'aspect le plus important à connaître aussi bien [...]
La population mondiale des octogénaires croît régulièrement : elle représentait 1,41 % en 2002 pour atteindre 2,50 % dix ans plus tard. [...]
L'anxiété et/ou la dépression sont très fréquentes au cours de la bronchopneumopathie chronique obstructive (BPCO), avec une prévalence [...]
Un infarctus aigu du myocarde (IDM) peut survenir simultanément à un accident vasculaire cérébral (AVC) ischémique. L’incidence et [...]
Le diabète de type 1 (DT1) est une maladie auto-immune dont l’incidence augmente à l’échelle mondiale depuis plusieurs décennies pour [...]
Les complications sont au cœur de la maladie de Crohn (MC) : elles concernent 50 % des patients qui développent des abcès, rétrécissements [...]
Plus de 3 ans après le début de la pandémie à Covid-19, le port du masque dans la population générale reste controversé, alors même [...]
Les troubles musculosquelettiques font partie du tableau clinique révélateur du rhumatisme psoriasique (Rpso). Un traitement médical [...]
La sarcoïdose est une maladie multi-organique de cause inconnue caractérisée par une inflammation granulomateuse non nécrosante, touchant [...]
Près d’un enfant sur 3 serait atteint de constipation fonctionnelle. Il s’agit de la pathologie gastro-intestinale la plus fréquente [...]
L'American Heart Association (AHA) a dévoilé un nouveau calculateur qui vise à estimer le risque de maladie cardiovasculaire (MCV) [...]
Un déficit moteur des membres supérieurs affecte 50 à 80 % des malades à la phase aiguë post-AVC (accident vasculaire cérébral) et [...]
Les patients atteints de polyglobulie de Vaquez (PV) ont eu une durée de vie diminuée du fait de complications thrombotiques parfois [...]
En dépit de l’effort des politiques publiques pour promouvoir l’activité physique (AP) et diminuer la sédentarité, le niveau général [...]
En prévention primaire, les grands essais cliniques qui ont inclus une majorité de sujets âgés de moins de 70 ans, ont montré de façon [...]
Le cancer de la prostate est à l’origine d’une lourde morbi-mortalité qui affecte la population masculine à un échelon mondial. Sa [...]
L’hidradénite suppurée ou maladie de Verneuil est une maladie inflammatoire chronique récidivante qui se traduit par des nodules cutanés [...]
L’examen des patients asthmatiques se déroule traditionnellement en face-à-face, la fonction pulmonaire étant mesurée sur place. Cependant, [...]
Les inhibiteurs de la pompe à protons (IPP) sont très utilisés en pédiatrie dans les pathologies œsogastriques, telles que le reflux [...]
L’infertilité est le lot d’un couple sur six environ dans le monde. Plus d’une fois sur deux, c’est l’homme qui est en cause, du fait [...]
Il est impératif que les patients en unité de soins intensifs puissent bénéficier d'un sommeil adéquat afin de favoriser leur rétablissement [...]
La transplantation cardiaque effectuée à partir de cœur de patients en arrêt circulatoire est de plus en plus fréquente ; cela augmente [...]
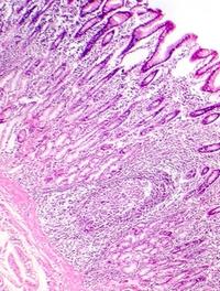
En France, le cancer de l’estomac représente la quatrième cause de cancer digestif avec 6 440 nouveaux cas et 4 756 décès par an. L’infection [...]
Alors que la stratégie 2023-2027 contre les troubles du neurodéveloppement vient d’être dévoilée en France, le British Medical Journal [...]
Découvrez le replay du webinar organisé par le Laboratoire X.O ayant eu lieu le 11 octobre 2023.
Modéré par le Dr Pierre Sabouret, [...]
Dans un important éditorial, Price et coll. abordent le rôle de l'activité physique dans la gestion de l'asthme (1). Il s'agit d'un [...]
Le rétrécissement aortique calcifié (RAC) sévère qui est actuellement la plus fréquente des valvulopathies de l’adulte, est couramment [...]
Une sinusite aiguë est fréquemment traitée par une antibiothérapie en l’absence d’étiologie connue. La raison est la crainte de complications [...]
En 2018, selon Santé Publique France, le cancer responsable du plus grand nombre de décès était chez l’homme le cancer bronchique essentiellement [...]
Les symptômes du bas appareil urinaire (LUTS) chez l’homme sont fréquents et augmentent avec l’âge. Il peut s’agir de faible débit [...]