La transplantation de microbiote intestinal améliorerait les résultats cliniques dans les MICI

Une méta-analyse révèle que la transplantation de microbiote intestinal (TMI), également communément appelée transplantation de microbiote [...]
Une méta-analyse révèle que la transplantation de microbiote intestinal (TMI), également communément appelée transplantation de microbiote [...]
La fente palatine isolée touche 1 à 25 nouveau-nés pour 10 000 naissances dans le monde. S’il existe des arguments suggérant qu’une [...]
On réunit sous le terme d’aortite un ensemble d’affections caractérisées par une inflammation de l’aorte. Les vascularites des gros [...]
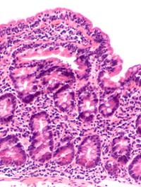
La maladie cœliaque (MC) est une affection chronique auto-immune polyorganique, déclenchée par l’ingestion de gluten. Elle touche 700 [...]
Les anticorps monoclonaux ciblant l'amyloïde-bêta (Aβ) ont démontré leur potentiel pour ralentir le déclin cognitif et fonctionnel [...]
La coloration noire de la thyroïde a été décrite en 1976 chez un homme prenant de la minocycline (MNC) depuis un an. A ce jour, environ [...]
Selon les derniers résultats de l'essai de phase 3 RADICALS-RT, la radiothérapie adjuvante après prostatectomie radicale n’apporte [...]
Trente à 40 % des patients âgés vulnérables atteints d’une fibrillation auriculaire (FA) reçoivent des antivitamines K (AVK) plutôt [...]
Une multiplication par 10 de l’obésité pédiatrique en 40 ans avec a entrainé 124 millions (7 %) d’enfants obèses dans le monde. Dans [...]
Le purpura thrombopénique auto-immun chronique (PTI) est caractérisé par la destruction prématurée des plaquettes recouvertes d'auto-anticorps, [...]
Les ressources tendues et la pénurie de lits hospitaliers ont contribué à augmenter, de façon notable, le nombre de patients présents [...]
La cytoréduction chirurgicale vise à réduire la quantité de cellules cancéreuses dans la cavité abdominale chez les patients atteints [...]
Les orthèses plantaires (OP) sont couramment utilisées dans le traitement des blessures du pied, de la cheville et des membres inférieurs, [...]
Le lien entre la tuberculose (TB) et les conditions socio-économiques a toujours été déterminant. La crise migratoire actuelle lui [...]
Dans le but d'élucider davantage les facteurs environnementaux qui sont au cœur de la compréhension de l'asthme, la revue PAI (Pediatric [...]
Un nouveau-né sur 2 de mère diabétique de type 1 présente des complications, principalement un accouchement prématuré, une macrosomie [...]
Les troubles cognitifs à long terme touchent environ la moitié des patients qui ont bénéficié d’une ventilation mécanique pour insuffisance [...]
Le reflux gastro-œsophagien (RGO) est défini par la remontée d’une partie du contenu gastrique dans l’œsophage, avec ou sans extériorisation. [...]
Alors que l’intervention coronaire percutanée (PCI) guidée par imagerie endo-coronaire (échographie ou tomographie par cohérence optique) [...]
Les méningites bactériennes aiguës dites spontanées sont plus fréquentes aux âges extrêmes de la vie. Elles s’associent volontiers [...]
La fièvre hémorragique de Crimée-Congo (CCHF) est une zoonose transmise par des tiques. Les tableaux cliniques sont très variés, allant [...]
Dans le VIH/sida, la non-adhérence au ART est synonyme de rebond virologique et d’apparition de résistances. Les piluliers ou la parole [...]
Les effets nocifs pour la santé de la consommation de cannabis sont avérés. L’Académie Nationale de Médecine a récemment confirmé son [...]
La tomographie par émission de positons (TEP) couplée à la tomodensitométrie (TDM) et effectuée après injection IV de PSMA (Prostate-specific [...]
Une inhalation méconiale (IM) est une détresse respiratoire néonatale secondaire au passage de liquide amniotique teinté par du méconium [...]
La chirurgie bariatrique reste le traitement étalon de l’obésité morbide (indice de masse corporelle IMC > 35 kg/m²). Non seulement [...]
La présentation de l’asthme bronchique est variable sur le plan clinique mais aussi sur celui des mécanismes physiopathologiques en [...]
Cet article est une publication de l’Agence pour la recherche et l’information en fruits et légumes.
Vos patients le savent, manger [...]
Depuis la mise en place du dépistage systématique et l’avènement des radiographies numérisées, l’incidence du carcinome canalaire in [...]
La pandémie de COVID-19 a eu un profond impact. Alors que les sociétés entrent dans une phase post-pandémique, il est essentiel d'évaluer [...]