Prévention et gestion de la rechute dans le sevrage tabagique

Interview du Dr Anne-Laurence Le Faou, présidente de la société française de tabacologie
Interview du Dr Anne-Laurence Le Faou, présidente de la société française de tabacologie
Une infection a été identifiée comme un facteur de risque pour certains types de cancer ; il s’agit essentiellement d’infections virales, [...]
La surveillance de l’évolution du poids au cours de la grossesse est fréquemment réalisée dans les pays développés. Des recommandations [...]
Dans le traitement du cancer pulmonaire non à petites cellules (CPNPC), l’immunothérapie en première intention, quand elle est possible [...]
La dépression et le trouble anxieux sont les deux problèmes de santé mentale les plus courants. L'incidence augmente fortement à l'adolescence [...]
Les patients atteints d'insuffisance rénale chronique à un stade avancé souffrent souvent de comorbidités telles que des maladies cardiovasculaires, [...]
Les auteurs rappellent que la fibromyalgie est un syndrome douloureux chronique faisant partie des quatre pathologies rhumatologiques [...]
La dyspepsie fonctionnelle est un syndrome fréquent, associant sensation de plénitude, ballonnement, douleur ou brûlures épigastriques, [...]
Une hypertension artérielle (HTA) est fréquente à la phase aigüe des accidents vasculaires cérébraux (AVC). Si plusieurs mécanismes [...]
Les inhibiteurs de la pompe à protons (IPP) sont parmi les médicaments les plus prescrits à un échelon mondial, une fois sur deux à [...]
Depuis le début de la pandémie mondiale de Covid-19, qui aurait fait près de 7 millions de décès dans le monde (1), de nombreux travaux [...]
Malgré de nombreuses études sur le sujet, on ne connait pas avec certitude le nombre minimal et optimal de pas quotidiens ayant un [...]
Dans la majorité des cas, l’allergie aux protéines de lait de vache (APLV) non IgE-médiée se résout assez rapidement. Ainsi, pour la [...]
La technique de l’imagerie par résonance magnétique en temps réel (IRMtr), avec une acquisition ultrarapide des images, est développée [...]
Même si la pancréatite aiguë est spontanément résolutive dans environ 80 % des cas, elle peut évoluer vers une forme modérément sévère [...]
L’asthme « difficile à traiter » est un asthme non contrôlé en dépit d’un traitement de stade 4/5 GINA à hautes doses. Différents facteurs [...]
Le tabagisme chronique est un facteur de risque cardiovasculaire majeur. Son rôle dans le risque d’accident vasculaire cérébral (AVC) [...]
On estime que près d’un demi-million de personnes aux US sont atteintes d’un cancer du poumon, non à petites cellules dans 85 % des [...]
Les pathologies cardiovasculaires sont les maladies non transmissibles les plus courantes au niveau mondial et causent environ un tiers [...]
La spondylarthrite ankylosante (SPA) est un rhumatisme inflammatoire chronique qui se caractérise d’abord par l’atteinte du squelette [...]
L'utilité des cigarettes électroniques (« e-cigarettes ») comme complément au sevrage tabagique reste controversée. Par ailleurs, la [...]
Le nombre de fumeurs en France demeure stable depuis 2019 : 12 millions de Français sont aujourd’hui des consommateurs de tabac. Cependant, [...]
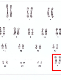
Les individus porteurs d’aneuploïdie des chromosomes sexuels ont un nombre anormal de chromosomes X ou Y. Leur prévalence en 2019, [...]
Il fut un temps où les effets dits pléiotropes des statines étaient à l’origine d’une abondante littérature. Les résultats hypothétiques [...]
La méniscectomie partielle arthroscopique (MPA) est de plus en plus pratiquée pour le traitement des lésions méniscales dégénératives [...]
Il existe des différences connues entre les sexes en matière de musculature squelettique et de composition corporelle. Les hommes ont [...]
Les calcifications des artères coronaires (CAC*) qui peuvent être quantifiées par scanner, sont prédictives de la survenue d’événements [...]
La maladie cardiovasculaire est la principale cause de mortalité chez les patients atteints d’un diabète de type 2 (DT2). Certes, la [...]
Les accidents vasculaires cérébraux (AVC) sont la 2ème cause de mortalité dans le monde. Les hommes et les femmes sont sujets à différents [...]
Parmi 491 603 personnes répertoriées dans la biobanque britannique et suivies pendant une période allant jusqu'à 15 ans, il apparaît [...]