La solitude en cause dans le diabète de type 2 ?

L’isolement social et la solitude augmentent le risque de survenue de nombreuses pathologies, parmi lesquelles les pathologies cardio-vasculaires, [...]
L’isolement social et la solitude augmentent le risque de survenue de nombreuses pathologies, parmi lesquelles les pathologies cardio-vasculaires, [...]
Le test de provocation orale (TPO) est le gold standard pour le diagnostic de l’allergie aux protéines de lait de vache (APLV). Cependant, [...]
Le système nerveux entérique (SNE), qualifié de second cerveau, est la partie du système nerveux autonome qui contrôle le système digestif. [...]
L'obésité est une maladie hétérogène qui augmente le risque de mortalité toutes causes confondues. La chirurgie bariatrique, si elle [...]
La mucite bucco-pharyngée est une complication fréquente des traitements anti-cancéreux, qu’il s’agisse de la radiothérapie, de la [...]
Bien que souvent considérée comme secondaire par rapport à l’intervention elle-même, la cicatrice peut néanmoins revêtir une grande [...]
Malgré la fréquence relativement importante du trouble obsessionnel-compulsif (TOC) affectant environ 1,3 % de la population adulte, [...]
Le choc cardiogénique représente la principale cause de décès hospitalier chez les malades présentant un infarctus du myocarde aigu [...]
Une première fracture ostéoporotique augmente la probabilité d’une nouvelle fracture, notamment dans les deux années qui suivent l’évènement [...]
De nouvelles données indiquent que l’exposition à la pollution atmosphérique par les particules fines PM2.5, dont le diamètre est inférieur [...]
De nombreux types de régimes alimentaires ont été proposés pour perdre du poids ou éviter d’en prendre : pauvres en graisses pour certains, [...]
L’antibiothérapie continue au cours des reflux vésico-urétéraux a pour but de prévenir les infections urinaires (IU) et d’éviter les [...]
Le dépistage systématique du cancer du sein par mammographie est recommandé par les autorités de santé internationales. Il est associé [...]
Supplément de l’American Journal of Psychiatry destiné aux psychiatres en formation, le Residents’ Journal consacre un article à la [...]
La dermatomyosite (DM) est classée dans les myopathies inflammatoires. C’est une maladie rare avec une prévalence estimée entre 1/10 [...]
La prévalence d'une consommation excessive d’alcool en cas d'hypertension artérielle (HTA) varie entre 5 % et 7 % selon les études, [...]
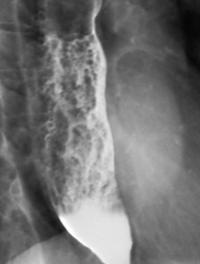
L'achalasie, ou cardiospasme, est une pathologie caractérisée par l’altération des neurones inhibiteurs des plexus de la paroi oesophagienne. [...]
La charge anticholinergique d’un traitement se réfère à l’effet cumulé des médicaments à activité anticholinergique qui le composent. [...]
La peau est une barrière entre le milieu extérieur et notre corps ; c’est notre première ligne de défense contre les agressions extérieures [...]
La thérapie cognitivo-comportementale (TCC) est recommandée comme traitement de première intention de l'insomnie, mais l'accès à la [...]
Le cancer appendiculaire à cellules caliciformes (KCC) est une entité rare de tumeur endocrine composée de cellules sécrétoires notamment [...]
L’hyperéosinophilie relève de causes multiples et les pathologies sous-jacentes sont le plus souvent bénignes, mais il est des cas [...]
L'insuline BIF (Basal Insulin Fc, ou LY3209590) en prise unique hebdomadaire s'est montrée sûre et non inférieure à l'insuline de référence [...]
La stéatopathie métabolique (NASH) manque cruellement de traitements efficaces sur les aspects métaboliques, inflammatoires et fibrosants. [...]
Il a été signalé récemment que les jeux électroniques pouvaient provoquer, chez certains sujets sensibles, des troubles du rythme cardiaque [...]
Les modalités de prise en charge en physiothérapie et en rééducation peuvent grandement varier d’un pays à l’autre, même au sein de [...]
L’Indian Journal of Psychiatry consacre un article à un sujet fréquent et très préoccupant, dans la pratique médicale : la non-observance [...]
La carcinose péritonéale est une complication grave propre à certains cancers de la cavité abdominopelvienne, notamment ceux de l’ovaire, [...]
Cette étude britannique réalisée chez 35 enfants présentant une épilepsie réfractaire au traitement médicamenteux montre qu’une association [...]
Le papillomavirus humain (HPV) est le virus à transmission sexuelle le plus couramment retrouvé dans des lésions à fort potentiel malin. [...]