L’éducation croisée appliquée à l’AVC : quel effet ?

Le concept d’'éducation croisée (EC) a été documenté pour la première fois par Scripture et al. en 1894. Un consensus Delphi modifié [...]
Le concept d’'éducation croisée (EC) a été documenté pour la première fois par Scripture et al. en 1894. Un consensus Delphi modifié [...]
L'atopie est utilisée depuis longtemps pour dépister les allergies des voies respiratoires. Néanmoins, les aéroallergènes peuvent déclencher [...]
Cette première chez l’homme avait pour but de tester, lors d’un TAVI (transcatheter aortic valve implantation) la sureté d’emploi et [...]
L’association entre le syndrome d’apnées-hypopnées obstructives du sommeil (SAOS) et la bronchopneumopathie chronique obstructive (BPCO) [...]
Le lymphome diffus à grandes cellules B (LDGCB) est le type le plus courant de lymphome non hodgkinien. Le traitement standard de première [...]
Aux Etats-Unis, on estime actuellement à 1,2 millions le nombre de personnes porteuses du VIH (prévalence globale 0,3 %), et à plus [...]
L’activité physique d’intensité modérée à vigoureuse (APMV) réduit le risque de mortalité toutes causes confondues, par maladies cardiovasculaires [...]
Les anticorps monoclonaux inhibiteurs de l'interleukine 12/23 (IL-12/23) ou de l’interleukine 23 (IL-23) seraient plus efficaces que [...]
Le mélanome malin invasif est potentiellement curable lorsqu’il est détecté à un stade précoce. Cette notion, qui prévaut pour la plupart [...]
Voisin du concept philosophique d’énandiodromie (le retournement des choses en leur contraire, comme par exemple dans le proverbe « [...]
La prise en charge des cancers gynécologiques a connu des changements importants en quelques années, grâce à l’intégration en pratique [...]
Un taux plasmatique trop élevé de LDL-cholestérol (LDL-c) constitue un facteur de risque majeur de maladie cardiovasculaire (MCV) et [...]
Plusieurs études ont rapporté une hausse de l’incidence des diabètes de type 1 (T1D) et 2 (T2D) durant la pandémie de Covid-19 chez [...]
L’insuffisance rénale chronique (IRC) représente un enjeu majeur de santé publique et ceci risque de s’accroitre d’ici 2030 puisqu’il [...]
Le virome intestinal humain est composé de virus qui se répliquent dans les cellules (eukaryotic virus, en anglais), et de bactériophages [...]
La maladie cardiovasculaire (MCV) contribue largement à la morbi-mortalité associée à la polyarthrite rhumatoïde (PR) et l’inflammation [...]
L’adénocarcinome canalaire pancréatique (ACP) représente la forme la plus fréquente des tumeurs malignes du pancréas (plus de 90 % [...]
Dans le traitement des méningites à Listeria monocytogenes, les recommandations actuelles prônent l’arrêt de la dexaméthasone quand [...]
Les anomalies du tube neural sont parmi les malformations congénitales les plus fréquentes aux Etats-Unis, affectant environ 3 000 [...]
L’obésité pèse de plus en plus lourdement sur les systèmes de santé dans la plupart des pays. Elle toucherait plus d’un milliard d’individus [...]
Depuis quelques années, la réalité virtuelle (RV) utilisée comme outil thérapeutique est devenue un nouveau sujet de recherche en réhabilitation. [...]
Une fois n’est pas coutume, pas d’énigme dans ce cas clinique mais la présentation d’un tableau de déformation rachidienne à savoir [...]
Certains patients souffrant d’un reflux gastro-œsophagien (RGO) sont réfractaires au traitement par inhibiteurs de la pompe à protons [...]
Parce que l’obésité est un facteur de risque d’insuffisance rénale chronique (par le biais d’une glomérulopathie liée à l’obésité, [...]
Parfois très subtile, la distinction conceptuelle entre une association et une relation de causalité s’appuie sur les critères de Hill[1], [...]
La prise en charge des patients atteints d’un cancer du poumon non à petites cellules (CPNPC) sans altération génétique actionnable [...]
Les tumeurs borderline de l’ovaire (TBO) ou “tumeurs à faible potentiel de malignité” sont caractérisées par une signature histopathologique [...]
L'essai GO-BACK de phase IV publié dans Rheumatology devrait inciter à la prudence avant de suspendre le traitement par golimumab après [...]
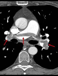
L’embolie pulmonaire (EP) est dite « à cheval » (saddle pulmonary embolism), ou « en selle », quand le thrombus présent dans le tronc [...]
La clairance initiale du taux de lactate sérique, définie comme une diminution de 10 % de la lactatémie en 2 heures, est utilisée pour [...]