Diagnostic et prise en charge de la NAFLD : des recommandations américaines

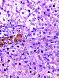
La stéatose hépatique non alcoolique (Non Alcoholic Fatty Liver Disease, NAFLD) est associée à diverses anomalies métaboliques : insulinorésistance, [...]
La stéatose hépatique non alcoolique (Non Alcoholic Fatty Liver Disease, NAFLD) est associée à diverses anomalies métaboliques : insulinorésistance, [...]
Le GLP1 (Glucagon-like-peptide 1) synthétisé par le tractus digestif en période alimentaire, amplifie la sécrétion d’insuline induite [...]
La prévalence croissante de pathologies chroniques dans la population âgée soulève des enjeux majeurs. Le non-respect des traitements [...]
Les troubles du goût sont fréquents dans la population générale et peuvent avoir de multiples causes. Il peut s’agir de dysgueusie [...]
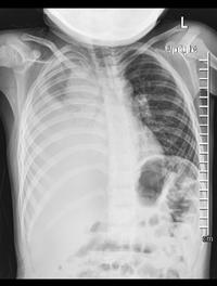
Les épanchements pleuraux et les empyèmes sont les complications principales des pneumonies communautaires de l’enfant. La pleurésie [...]
Les infections invasives à méningocoques sont des infections rares mais potentiellement mortelles qui peuvent être évitées par la vaccination. [...]
Peu de données sont aujourd’hui publiées sur le risque d’épilepsie post-AVC après un traitement endovasculaire. Plusieurs petites études [...]
Alors que la prévalence sur un an de l’eczéma des mains dans la population générale atteint 9,1 %, les options thérapeutiques restent [...]
L'utilisation empirique du calcium dans les arrêts cardiaques (AC) est depuis longtemps un sujet de controverse, avec toutefois un [...]
Le diagnostic de cancer ovarien reste le plus souvent tardif et ses formes avancées exposent à une surmortalité autant qu’à un risque [...]
Contrairement à une idée reçue par certains cliniciens, les opioïdes ne préviennent pas la mortalité cardiovasculaire en comparaison [...]
L'asthme est un problème de santé mondial grave qui touche tous les groupes d'âge. Sa prévalence augmente dans de nombreux pays, notamment [...]
L’hémochromatose est une maladie autosomale récessive qui touche une personne sur mille en France, caractérisée par une accumulation [...]
La bronchopneumopathie chronique obstructive (BPCO) représente un fardeau énorme à l’échelon mondial, en termes de dépense de santé [...]
La Fièvre jaune, la Dengue, le Chikungunya, le virus Zika sont des arboviroses (« Arthropod-borne virus », virus transmis à l'Homme [...]
Les troubles minéraux et osseux de l’insuffisance rénale chronique (IRC) sont une complication importante exposant à un risque accru [...]
La pandémie de COVID-19 a été responsable de plus de 670 millions de cas, plus de 6,8 millions de décès. Les patients admis dans les [...]
La thrombectomie mécanique endovasculaire a transformé le pronostic fonctionnel des accidents vasculaires cérébraux (AVC) ischémiques [...]
L’amplification et la surexpression de l’oncogène HER2 (human epidermal growth factor receptor 2) sont présentes dans environ 20 % [...]
En raison de la vulnérabilité de leur peau, les personnes âgées sont sujettes à divers problèmes cutanés tels que la xérose, les érosions [...]
Le purpura fulminans (PF) fait partie des maladies infectieuses rares mais graves qui exposent de fait à une lourde morbi-mortalité. [...]
L’infection par le Virus Respiratoire Syncytial (VRS) est la première cause d’hospitalisation et de décès chez les jeunes enfants dans [...]
Les recommandations actuelles préconisent un traitement symptomatique pour les infections urinaires basses non compliquées de la femme [...]
Le diabète de type 1 (DT1) est une maladie auto-immune qui détruit les cellules β pancréatiques productrices d’insuline. Un nombre [...]
La cholangite sclérosante primitive (CSP) associe, sur le plan histologique, une inflammation chronique et la destruction des voies [...]
Les maladies inflammatoires et auto-immunes sont négativement associées à la grossesse : moindre fertilité, risque de fausse-couche, [...]
La pneumonie acquise sous ventilation mécanique (PAVM) est la plus fréquente des infections nosocomiales des voies respiratoires inférieures [...]
Le rhumatisme psoriasique (Rpso) affecte 20 à 30 % des patients atteints d’un psoriasis. En cas d’échec des antirhumatismaux modificateurs [...]
Selon les publications, la proportion d'asthme sévère (AS) au sein de la population asthmatique est de 8 à 10 %. Une meilleure compréhension [...]
Le cancer gastrique fait partie des cancers les plus fréquents (5ème position) et les plus mortels (3ème position) dans le monde. La [...]