Rééducation de l’aphasie post-AVC : les clés de la réussite

Plus de 3,5 millions de personnes dans le monde sont victimes d’un AVC qui affecte le langage, que ce soit l’expression orale, la compréhension, [...]
Plus de 3,5 millions de personnes dans le monde sont victimes d’un AVC qui affecte le langage, que ce soit l’expression orale, la compréhension, [...]
La borréliose de Lyme (BL) est une maladie infectieuse émergente causée par Borrelia burgdorferi transmise par les tiques. Après le [...]
La survenue d’une hypertension artérielle (HTA) pendant la grossesse est suivie d’un risque plus élevé d'HTA ultérieure (un tiers des [...]
L’épilepsie temporale est la plus fréquente des épilepsies pharmacorésistantes. Son traitement peut reposer sur l’ablation du foyer [...]
La marche est une activité physique simple et peu coûteuse associée à plusieurs avantages pour la santé, qu’elle soit physique, sociale [...]
La médiation équine thérapeutique (MET) est menée avec l’aide d’un cheval, pour contribuer au bien-être cognitif, physique, émotionnel [...]
Déterminer avec précision le risque de récidive et de mortalité d’un mélanome est essentiel pour organiser la prise en charge thérapeutique [...]
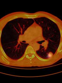
L’évaluation des nodules intrapulmonaires (NIP) périphériques, inaccessibles à la bronchoscopie classique, est une situation fréquente [...]
Au cours des derniers étés, des incendies ont ravagé plusieurs hectares de terrain dans divers pays et l’un des plus spectaculaires [...]
Le tabagisme chronique doit en règle être interrompu à l’occasion d’une intervention chirurgicale. C’est même une opportunité pour [...]
Dans la rue, un grand nombre de personnes déambulent tout en écoutant des podcasts, des messages vocaux ou autres. Sans compter toutes [...]
L’ocytocine est l’une des thérapeutiques les plus utilisées en obstétrique dans le monde, dans le but d’induire ou d’accompagner le [...]
Les escarres développées au cours d'une hospitalisation demeurent une menace sérieuse pour les patients, car les outils couramment [...]
La paralysie récurrentielle (PR) est un accident redouté après thyroïdectomie (THT) dont le retentissement est à la fois physique et [...]
L'asthme est la maladie chronique la plus courante chez l'enfant dans les pays développés. A l’âge de 6 ans, environ 50 à 60 % des [...]
La neuro-imagerie joue un rôle de premier plan dans le diagnostic positif des hémorragies intracérébrales spontanées non traumatiques. [...]
Plusieurs études ont montré que 50 à 60 % des néoplasies intraépithéliales cervicales de grade 2 (CIN2) régressent spontanément dans [...]
La démence, cause majeure d’invalidité et de mortalité, est caractérisée par atteinte cognitive associée à des troubles de la vie quotidienne. [...]
Les petites molécules antagonistes des récepteurs du peptide lié au gène de la calcitonine (CGRP), également dénommées gépants, constituent [...]
La transmission mère-enfant (TME) du SARS-CoV-2 est principalement postnatale. Sa fréquence est de 1 % à 2 %. Elle se fait par voie [...]
Les individus présentant des niveaux élevés d’anxiété sont plus enclins à recourir aux soins de santé. Cette tendance est également [...]
Le végétarisme est un régime alimentaire excluant toute chair d’origine animale (viande, poisson), mais qui admet en général la consommation [...]
La douleur chronique affecte entre 15 % et 25 % des enfants d'âge scolaire, en particulier les filles, et cette prévalence est en augmentation. [...]
Dans les pays industrialisés, la popularité de la course auprès des adultes de plus de 40 ans est en plein essor amenant l'âge moyen [...]
Les admissions non programmées des patients porteurs de cancers métastatiques en unités de soins intensifs (USI) soulèvent souvent [...]
Lors de la mise sur le marché de nouveaux médicaments, l'efficacité clinique est l'aspect le plus important à connaître aussi bien [...]
La population mondiale des octogénaires croît régulièrement : elle représentait 1,41 % en 2002 pour atteindre 2,50 % dix ans plus tard. [...]
Plus de 3 ans après le début de la pandémie à Covid-19, le port du masque dans la population générale reste controversé, alors même [...]
Près d’un enfant sur 3 serait atteint de constipation fonctionnelle. Il s’agit de la pathologie gastro-intestinale la plus fréquente [...]
L'American Heart Association (AHA) a dévoilé un nouveau calculateur qui vise à estimer le risque de maladie cardiovasculaire (MCV) [...]